Dental Implants & Restoration
Before-and-after case treated with direct composite bonding. The patient’s smile was transformed in just one hour—no anesthesia, no injections required
A beautiful smile is more than just aesthetics—it’s a reflection of confidence, health, and happiness. With modern dentistry, we can create natural-looking smiles that enhance facial harmony and bring out the best in every patient.
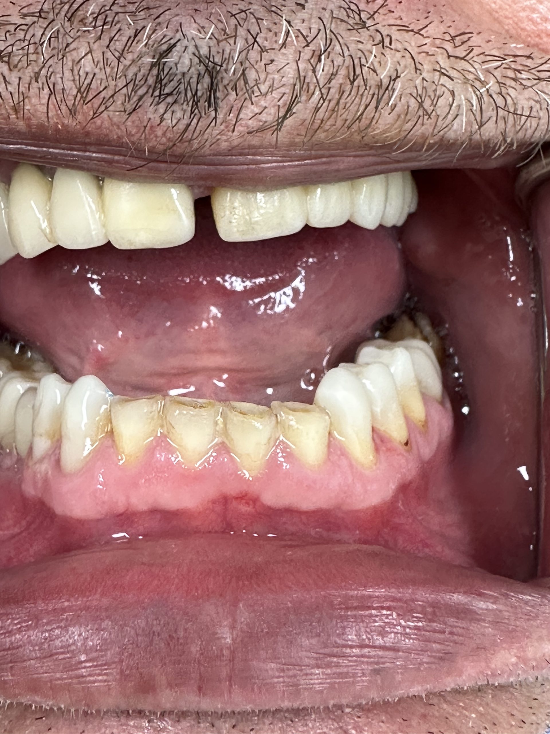
Take a closer look at this smile—can you guess which tooth is the restored one? With today’s advanced materials and techniques, composite bonding and crowns can blend so seamlessly with natural teeth that even trained eyes may find it hard to tell the difference. The goal is always to achieve a natural, confident smile that looks and feels just like the real thing.
Lorem ipsum dolor sit amet, consectetur adipiscing elit. Ut elit tellus, luctus nec ullamcorper mattis, pulvinar dapibus leo.
Lorem ipsum dolor sit amet, consectetur adipiscing elit. Ut elit tellus, luctus nec ullamcorper mattis, pulvinar dapibus leo.
Lorem ipsum dolor sit amet, consectetur adipiscing elit. Ut elit tellus, luctus nec ullamcorper mattis, pulvinar dapibus leo.
Lorem ipsum dolor sit amet, consectetur adipiscing elit. Ut elit tellus, luctus nec ullamcorper mattis, pulvinar dapibus leo.
Lorem ipsum dolor sit amet, consectetur adipiscing elit. Ut elit tellus, luctus nec ullamcorper mattis, pulvinar dapibus leo.
Lorem ipsum dolor sit amet, consectetur adipiscing elit. Ut elit tellus, luctus nec ullamcorper mattis, pulvinar dapibus leo.
Lorem ipsum dolor sit amet, consectetur adipiscing elit. Ut elit tellus, luctus nec ullamcorper mattis, pulvinar dapibus leo.
Lorem ipsum dolor sit amet, consectetur adipiscing elit. Ut elit tellus, luctus nec ullamcorper mattis, pulvinar dapibus leo.